SCOLIOSIS
When looking at the adult spine from the side, it is apparent that the spine is not straight. Instead, the spine depicts a gentle “S-shaped curve” with the low back and the neck having a gentle inward (concave) curve whilst the mid back curvature is the opposite and exhibits an outward (convex) curve.
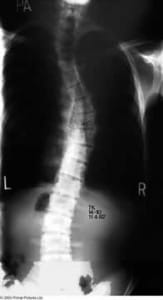
When looking at the contour of the spine from behind, the spine is usually straight, although this alignment can become altered in many conditions. The term scoliosis is derived from the Greek work skolios, meaning twisted or crooked, and can be observed below as a lateral (side) deviation of the spinal column.

The lateral curvature observed in a scoliosis is also accompanied by a degree of rotation through the spine and often patients with a scoliosis have a rib hump on bending forward.
The most common type of scoliosis is defined as an idiopathic scoliosis, whereby the reason for its development is unknown. Other causes include leg length inequalities, congenital deformities, degeneration and neuromuscular conditions, such as poliomyelitis.
The management of this complaint is largely dependent on the degree of curvature, the cause and the age of the patient. In the absence of any underlying pathology, severe cases will often be managed surgically, whereas non-progressive, mild or moderate cases are often treated conservatively.
With a scoliosis, the changes in the natural curvature of the spine leads to abnormal stresses being placed on elements of the spine which should only be involved with minimal stress and weight-bearing. Over time, these abnormal stresses can also lead to compensatory changes above and below the site of the curvature, such as changes in pelvic alignment, muscle spasm, joint and disc degeneration and nerve irritation. Subsequently, patients may be aware of these symptoms rather than ever noticing any changes in the curvature of their spine.
(The list of conditions given above and subsequent explanations are intended as a general guide and should not be considered a replacement for a full medical examination. Furthermore, we do not purport to treat all the conditions listed. Should you wish to discuss any of these conditions with our chiropractors, please do not hesitate to phone the clinic on 020 7374 2272 or email enquiries@body-motion.co.uk).
Our team of chiropractors and massage therapists are on hand to answer any questions you may have, so get in touch today via enquiries@body-motion.co.uk or on +44 (0)20 7374 2272.
